Nuestros Servicios

Ofrecemos una amplia variedad de estudios de radiología dental y maxilofacial.

Estudios con turno previo

Los siguientes estudios requieren turno previo:

Seriadas · Oclusales · Bite Wing · Fotos de ortodoncia

Solicitar turno por WhatsApp
Panorámicas dentales

Panorámicas dentales

Ver más
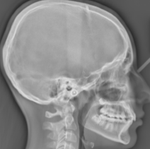
Teleradiografía

Teleradiografía

Ver más
Cefalogramas

Cefalogramas

Ver más
Oclusales

Oclusales

Ver más
Tomografía dental

Tomografía dental

Ver más
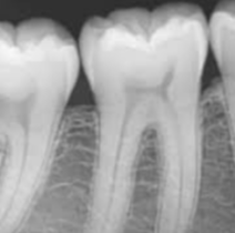
Periapicales

Periapicales

Ver más
Laminografías

Laminografías

Ver más
Seriadas completas

Seriadas completas

Ver más
Fotos extraorales

Fotos extraorales

Ver más
WhatsApp